+38 (050) 381 39 70
+38 (044) 223 83 18
Київ, вул. Омеляновича-
Павленка, 19а, оф. 1
Оригінальний лист на ангійській мові дивіться за посиланням:
https://mailchi.mp/ibl-international/new-years-resolution-1-to-be-healthier-1680302?e=fa9a275620


Georgakis з колегами досліджували питання, чи існує зв'язок між рівнем MCP-1 у крові осіб з загальної популяції та ризиком серцево-судинних захворювань. Виявили, що MCP-1 відіграє ключову роль у розвитку серцево-судинних захворювань у пацієнтів, за якими спостерігали більше 20 років2

Рис 1. Схема яка підсумовує результати дослідження, проведеного із залученням 17 180 осіб, на предмет виявлення зв’язку між рівнем MCP-1 у циркуляції та ризиком виникнення інсульту (Georgakis et al., 2019).
Аналіз даних, отриманих після обстеження 17 180 осіб, свідчить про те, що рівень MCP-1 у крові прямо пов’язаний з ризиком розвитку інсульту та атеросклерозу. Цитокіни, які викликають запалення, були визначені в якості потенційної мішені для терапевтичних заходів, спрямованих на зниження судинного ризику.
Підвищений рівень МСР-1 у циркуляції пов’язаний з високим довгостроковим ризиком інсульту. Таким чином, зниження рівня MCP-1 у крові може бути терапевтичною метою для зниження ризику розвитку інсульту у пацієнтів.
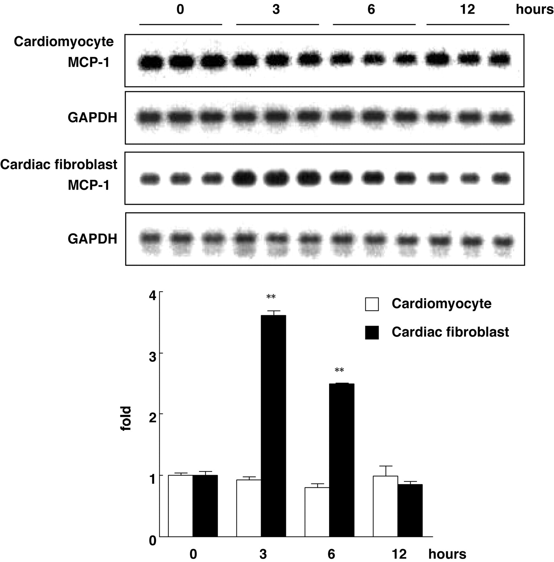
У дослідженнях, які проводили Omura з колегами, вимірювали MCP-1 за допомогою ІФА наборів для MCP-1 щурів. Було показано, що ангіотензин II здатен викликати збільшення експресії мРНК для MCP-1 у фібробластах з серця щурів, але не у кардіоміоцитах3

Рис 2. Динаміка експресії мРНК для MCP-1, яка індукована ангіотензином II. Кардіоміоцити та фібробласти з серця щурів обробляли 100 нмоль/л ангіотензину II у зазначені моменти часу. Верхня панель: нозерн-блот-авторадіограми MCP-1 і GAPDH; Гістограма показує рівень щільності смуг на авторадіограмі. (Omura et al., 2004).
Встановлено, що у фібробластах з серця щурів, оброблених ангіотензином II, активність протеінкіназ різних типів (ERK, JNK і p38MAPK) зростала у 2,3 рази через 5 хвилин, у 4,8 рази через 30 хвилин, у 7,0 разів за 5 хвилин, відповідно. Ці результати демонструють, що ангіотензин-II індукує експресію MCP-1 і підвищує активність MAPK.
Представлені результати свідчать про те, що активація p38MAPK і NF-κB під дією ангіотензину II у фібробластах серця приймає участь при стимуляції експресії MCP-1 і може бути пов’язана з ремоделюванням серцевого м’язу (міокарду).
Ми розповсюджуємо тест-системи для імуноферментного аналізу (ІФА)*: набір для визначення MCP-1 щурів (JP17176); кролячі IgG проти MCP-1 щурів (JP18371); мишачі IgG MoAb (MB10) проти MCP-1 щурів (JP10121), які доступні для дослідницьких цілей (RUO).
*- поширюється компанією IBL international GmbH, яка входить до групи Tecan. Доступно лише для обмежених територій. Зв'яжіться з нами для отримання додаткової інформації.
Ми раді підтримати Вас у Ваших дослідженнях

Для отримання додаткової інформації зв'яжіться з нами безпосередньо (contact us) або натисніть тут (click here)!
В якості дистриб'ютора IBL Japan, ми регулярно отримуємо цікаву інформацію, натисніть тут (brochure), щоб отримати брошуру. IBL Japan виробляє антитіла високого класу і тест-системи ІФА для великої кількості унікальних та нішевих біомаркерів.
Додаткову інформацію можна знайти на IBL Japan website
| BOРG0030 | BOРG0030 Bordetella pertussis IgG ELISA / Кашлюк, антитіла IgG, набір реагентів ІФА | Придатність 28.02.2027 - за ціною зі знижкою 162 Євро з ПДВ. |
| BOPM0030 | BOPM0030 Bordetella pertussis IgМ ELISA / Кашлюк, антитіла IgМ, набір реагентів ІФА. | Придатність 28.02.2027 - за ціною зі знижкою 162 Євро з ПДВ. |